Stacks Image 14
Stacks Image 17
Stacks Image 20

Wir retten Zähne

Endodontische Behandlungsfälle

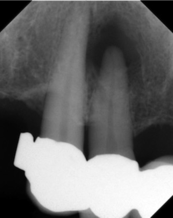
  • Primärbehandlung Zahn 12
    Parodontitis apicalis am Zahn 12 mit großer periapikaler Osteolyse als Nebenbefund eines Rö-Status vor PA-Therapie.
    Echte Zysten sind eher selten. Meist handelt es sich auch bei so großen und relativ scharfbegrenzten Aufhellungen um Granulome. Granulome heilen im Gegensatz zu Zysten nach erfolgreicher endodontischer Behandlung meist knöchern aus.
    Somit ist die Ersttherapie und in der Regel auch alleinige Therapie die orthograde Wurzelbehandlung.
    Nur bei Fällen in denen die Osteolyse nicht rückläufig ist oder sich vergrößert, schließt sich eine Zystektomie mit apikaler Kürettage an.

    Im vorliegenden Fall wurde der Zahn lege artis aufbereitet, desinfiziert und verfüllt. Die Röntgenkontrolle nach 6 Monaten lässt eine nahezu vollständige Ausheilung vermuten.
    Die Brückenkonstruktion konnte somit auch erhalten werden.
    Stacks Image 92
    Stacks Image 97
    Stacks Image 102
    Stacks Image 107
  • Revisionsbehandlung Zahn 15
    Bei einer Halbjahresuntersuchung fiel ein Fistelmaul im Vestibulum regio 15 auf. Das angefertigte Röntgenbild zeigte einen resizierten Zahn 15 mit insuffizienter koronaler Rekonstruktion, nicht wandständiger Wurzelfüllung und ausgedehnter periapikaler Aufhellung. Es musste von einem infizierten Kanalsystem mit einhergehender periapikaler Osteolyse ausgegangen werden. Die Therapie sah eine orthograde Revision vor. Bei der intrakanalären Diagnostik wurde ein zweiter nicht gefüllter Wurzelkanal ausgemacht. Nach chemomechanischer Aufbereitung wurden beide Neoapices auf 3 mm mit MTA gefüllt. Nach dem Backfill mit warmer Guttapercha und AH+ wurde der Kronenbereich mit einem Adhäsivaufbau stabilisiert. Die 3-Monatskontrolle lässt eine beginnende knöcherne Konsolidierung vermuten. In der Kontrollaufnahme nach 12 Monaten war eine apikale Transluzenz nicht mehr auszumachen.
    Stacks Image 117
    Stacks Image 137
    Stacks Image 139
    Stacks Image 122
    Stacks Image 127
    Stacks Image 132
  • Perforationsdeckung und orthograde Revision Zahn 36
    Bei der Halbjahres Untersuchung einer 35 jährigen Patientin imponierte ein Fistelmaul in regio 36. Die Zähne 34 und 35 waren vital. Im Gegenkiefer fehlten die Zähne 27 und 28. Das angefertigte Röntgenbild zeigte den Zahn 36 mit Stift (vermutlich Radixanker) und Kronenversorgung. Den Stiftaufbau umgaben große Lufteinschlüsse. Die vorhandenen Wurzelfüllungen hatten alle eine ungenügende Länge. Die beiden mesialen Kanäle schienen obliteriert. An der distalen Wurzel waren apikal und im koronalen Wurzelbereich Osteolysen in Richtung Bifurkation.
    Nach Kronen- und Stiftentfernung war die vermutete Stripperforation an der distalen Wurzel deutlich sichtbar.
    Zahn 36 wurde chemomechanisch aufbereitet und mit AH+ und Guttapercha nach Schildertechnik obturiert.
    Die Perforation wurde mit MTA abgedeckt und die Zugangskavität adhäsiv mit Composite versorgt. Die Termine zur Nachkontrolle nach 4 Monaten und der sich anschließenden Kronenversorgung hat die Patientin nicht wahrgenommen.
    Bei der Nachkontrolle nach 14 Monaten war eine knöcherne Regeneration sowohl apikal als auch im Furkationsbereich zu verzeichnen.
    Der lanfristige Erhalt eines so stark geschwächten Zahnes muss zumindest als unsicher bezeichnet werden. Dies wurde mit der Patientin auch besprochen. Eine Brückenversorgung 35-38 kam für die Patientin nicht in Betracht. Die Patientin wollte trotz der unklaren Prognose den Erhaltungsversuch.
    Stacks Image 152
    Stacks Image 180
    Stacks Image 157
    Stacks Image 162
    Stacks Image 172
    Stacks Image 177
  • Stiftentfernung und orthograde Revision Zahn 21
    Ein 43 jähriger Patient hatte wiederkehrende Bescherden mit Aufbissempfindlichkeit und Druckdolenz im Vestibulum im Bereich von Zahn 21.
    Das Ausgangsröntgenbild zeigte einen gegossenen Stiftstumpfaufbau und eine Wurzelfüllung mit ungenügender Länge und Homogenität. Nach Entfernung der metallkeramischen Krone imponierte eine Karies im mesialen Randbereich des Stumpfaufbaus. Nach zirkumferenter Reduzierung des Stumpfaufbaus wurde der Stift mit Ultraschallinstrumenten gelockert und entfernt. Der Wurzelkanal wurde chemomechanisch aufbereitet und bis ins untere mittlere Wurzeldrittel mit AH+ und Guttapercha nach Schildertechnik verfüllt. Abschließend erfolgte eine adhäsiver Stiftstumpfaufbau mit GF-Stift und Composite und eine provisorische Kronenversorgung.
    Zur Kontrolle nach 1 Woche war der Patient beschwerdefrei.
    Stacks Image 190
    Stacks Image 210
    Stacks Image 215
    Stacks Image 195
    Stacks Image 200
    Stacks Image 205
    Stacks Image 229
  • Fragmententfernung Zahn 16
    Eine 30 jährige Patientin wurde zur Fragmententfernung an Zahn 16 überwiesen. Im Ausgangsröntgenbild imponierte ein ca. 4 mm langes Fragment in der mv-Wurzel. Das klinische Ausgangsbild zeigte die initial instrumentierten Kanaleingänge mb1 und db. Die Kanäle mb2 und p waren noch vom restlichen Pulpendach überdeckt. Somit ließ sich das Fragment dem mb1 zuordnen.
    Nach Darstellung aller Kanaleingänge wurde der Fragmentkopf auf nur 0,5 mm zirkumferent freigelegt und mit einem speziellen Schlingenfragmententferner (Fragremover) unter maximaler Substanzschonung entfernt. Nach chemomechanischer Aufbereitung wurden alle 4 Wurzelkanäle obturiert und die Zugangskavität adhäsiv verschlossen.
    Das Röntgenbild nach Wurzelfüllung zeigte einen mb1, der im Vergleich zu anderen Fragmentfernungsmethoden viel graziler aufbereitet und verfüllt werden konnte.

    Das nebenstehende Video zeigt den Ablauf der Fragmententfernung mit Schlingentechnik in bewegten Bildern.
    Stacks Image 260
    Stacks Image 265
    Stacks Image 270
    Stacks Image 275
    Stacks Image 280
    Stacks Image 285
    Stacks Image 291
  • Revaskularisierung Zahn 12
    Eine 12 jährige Patientin stellte sich mit ödematöser Schwellung im Vestibulum regio 21 vor. Der Zahn 21 war Avital und parodontal unauffällig. Laut Anamnese war die Patientin vor 6 Wochen mit Ihrem Fahrrad gestürzt und hatte sich dabei den Zahn 21 angeschlagen. Das Ausgangsröntgenbild zeigte eine apikale Osteolyse und ein resorptiv verändertes apikales Wurzeldrittel. Wegen des jugendlichen Alters der Patientin und des weiten Neoapex wurde in Absprache mit den Eltern ein Erhalt durch Revaskularisierung avisiert. Nach chemomechanischer Aufbereitung wurde eine Blutung provoziert und im koronalen Drittel ein MTA-Plug gesetzt. Der Zahn wurde danach adhäsiv verschlossen. In der Röntgennachkontrolle nach 3 Monaten konnte eine Hartgewebsbildung im apikalen Drittel, im besten Fall als Folge einer geglückten Revaskularisierung verzeichnet werden.
    Stacks Image 342
    Stacks Image 347
    Stacks Image 357
    Stacks Image 362
    Stacks Image 367
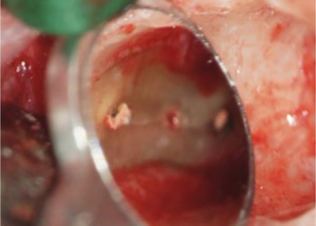
  • WSR mit retrograder WF mit MTA Zahn 46
    Nach orthograder Revision des resizierten Zahnes 46 persistierte der Entzündungsherd an der mesialen Wurzel eines 40 jährigen Patienten. Im leicht geschwollenen Vestibulum regio 46 imponierte ein Fistelmaul. Das Ausgangsröntgenbild zeigte eine ausgeprägte periapikale Osteolyse an der mesialen Wurzel von Zahn 46. Da der Zahn von orthograd austherapiert war, haben wir uns als Ultima Ratio zur Nachresektion der mesialen Wurzel entschieden. Dabei sollte das von der ersten Resektion verbliebene „Zahnscherbchen“ entfernt und die Wurzelkanäle von retrograd mit MTA verfüllt werden.
    Nach Bogenschnitt und Mukoperiostlappen wurde das Granulationsgewebe entfernt und die Wurzelspitze nachresiziert. Mit Ultraschallansätzen konnten die 3 mesialen Wurzelkanäle auf eine Länge von ca. 4 mm retrograd aufbereitet und nach Blutstillung mit MTA verfüllt werden.
    Schon nach 6 Monaten konnte man eine weit fortgeschrittene Reossifikation im Kontrollröntgenbild ausmachen.
    Stacks Image 376
    Stacks Image 404
    Stacks Image 386
    Stacks Image 406
    Stacks Image 381
    Stacks Image 401
LEITBILD
Unsere Praxisphilosophie ist der langfristige Erhalt Ihrer natürlichen Zähne. Durch die Spezialisierung unserer Praxis im Fachgebiet Endodontie sowie dem Einsatz modernster Technik für Diagnostik und Therapie sind wir hierfür sehr gut aufgestellt. So können wir oft noch Zähne erhalten, die scheinbar austherapiert sind.
KONTAKT
Praxis für Endodontie
Rehefelderstr. 12 , 01127 Dresden
TEL: 0351 / 84 95 296
Mail: endodontie@marcusleineweber.de
Mo 8:00 - 12:00 Uhr
Di ii8:00 - 18:00 Uhr
Mi
f8:00 - 15:30 Uhr
Do
8:00 - 18:00 Uhr
Fr
iii8:00 - 14:30 Uhr


Copyright Dr. Marcus Leineweber
-